こんにちは
年末年始のお休みが確定致しました
2017年12月29日(金)~2018年1月4日(木)までとなります!!
2018年1月5日(金)から通常通り診察致します
ご確認のよろしくお願い致します!!
~名駅歯科クリニック・矯正歯科~
2017.10.31更新
こんにちは
年末年始のお休みが確定致しました
2017年12月29日(金)~2018年1月4日(木)までとなります!!
2018年1月5日(金)から通常通り診察致します
ご確認のよろしくお願い致します!!
~名駅歯科クリニック・矯正歯科~
投稿者:
2017.10.26更新
こんにちは☀
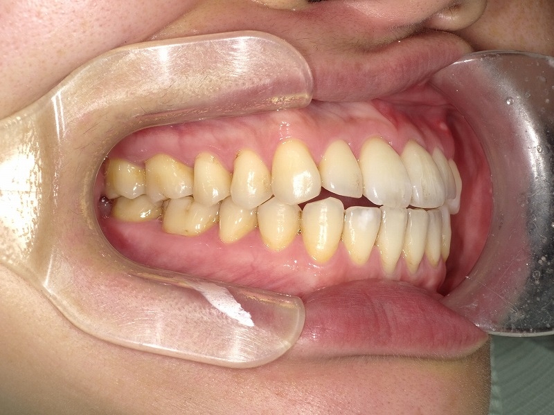
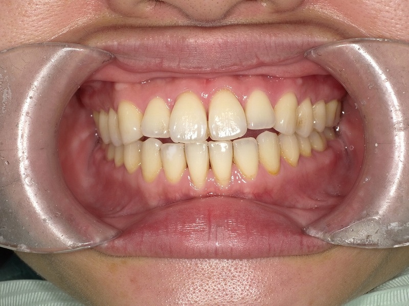
最近導入したオルソパルスを使いマウスピース矯正(インビザライン)
を始めたスタッフについて今度治療経過をご報告致します\(^o^)/
少し開口気味な歯並びが今度どのくらいの期間できれいな歯並びになるか
私達スタッフもすごく楽しみです★
まずは矯正を始める前の歯並びです(`・ω・´)ノ
~名駅歯科クリニック・矯正歯科~

投稿者:
2017.10.13更新
こんにちは
夏も終わり秋が到来ですね
最近また寒くなり風邪を引いている方も沢山いらっしゃると思います
身体を動かし、健康な身体作りをするように心がけましょう!!
そして!!新たなキャンペーンを開始いたします
既存の患者様にもうれしい特典が…?!
詳細は後日発表致します(`・ω・´)ノ
名駅歯科クリニック・矯正歯科
投稿者: